adres

ul. Mazowiecka 48 lok. 10-11, 15-302 Białystok

godz otwarcia

Pon-Pt 8:00-19:30

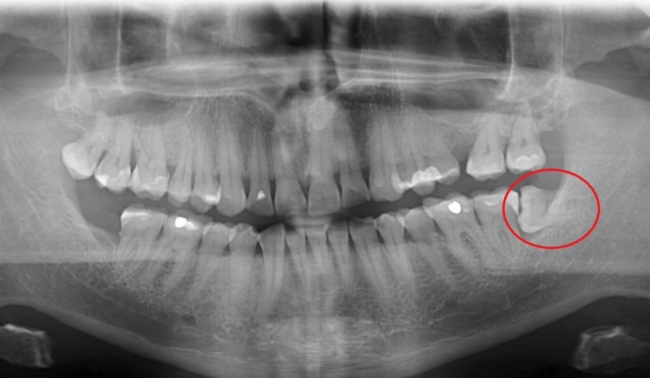
Usuwanie "ósemek"

Opublikowano: 26-01-22

Zęby mądrości nieraz przyprawiają nas o ból głowy, gdy dowiadujemy się, że musimy je usunąć - sprawdź, kiedy musisz się ich pozbyć.

Wskazania do usunięcia zębów ósmych wg prof. Stanisława Bartkowskiego:

1. nieprzydatność w zgryzie
2. nawroty stanów zapalnych
3. brak miejsca w łuku - wskazania ortodontyczne (zapobieganie stłoczeniom zębów)
4. zgorzel miazgi lub ropne zapalenie
5. "półksiężycowata" kieszonka kostna poza koroną zęba na zdjęciu RTG
6. torbiel zawiązkowa wokół korony zęba
7. zakażenie bakteryjne mieszka zęba całkowicie zatrzymanego
8. zakażenie bakteryjne kieszonki dziąsłowej zęba częściowo zatrzymanego
9. nerwoból objawowy
10. ucisk na ząb sąsiedni
11. nieprawidłowe położenie zęba

Poniżej przedstawiamy zabieg usunięcia zatrzymanego zęba mądrości wykonany przez specjalistę chirurgii stomatologicznej - dr Tomasza Kozioła, który polegał na znieczuleniu miejscowym, odsłonięciu zęba, zniesieniu blaszek kostnych z okolicy zęba, odcięciu korony i jej usunięciu, rozdzieleniu korzeni i ich usunięciu oraz zszyciu rany.