adres

ul. Mazowiecka 48 lok. 10-11, 15-302 Białystok

godz otwarcia

Pon-Pt 8:00-19:30

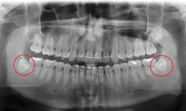
Germektomia - usunięcie zawiązka zęba mądrości

Opublikowano: 31-03-22

Germektomia jest najczęściej zabiegiem wykonywanym ze wskazań ortodontycznych, polegającym na chirurgicznym usunięciu zawiązka zęba mądrości, czyli "ósemki".

Głównym wskazaniem do germektomii, czyli usunięcia nie w pełni wykształconego zęba, jest zapobieganie stłoczeniom zębów.

Poniżej przedstawiamy germektomię wykonaną u 19-letniego pacjenta przez specjalistę chirurgii stomatologicznej - dr Tomasza Kozioła.